Ayudemos a Walter a que vuelva a caminar

6 de julio de 2022 a las 04:59

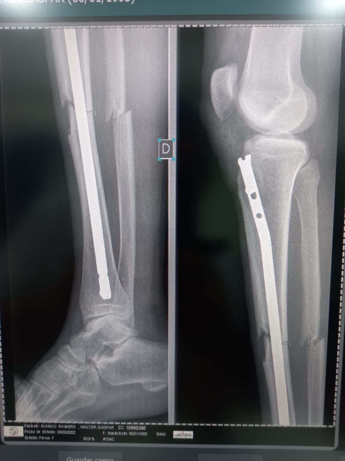
Walter tuvo un accidente laboral en motocicleta.
Lastimosamente se fracturó la tibia y el peroné.
Necesitamos ayuda para los gastos de traslados para consultas y fisioterapia.
Lo último que nos dijeron es que El Peroné esta con desplazamiento y posiblemente se vuelva a operar 😔
Creemos que saldremos de esta con la ayuda de nuestro Señor.
Gracias desde ya a los de buen corazón que sientan ayudar❤🙌🏻



Nombre:

Liz Noemi

Contacto:

  Contactar vía WhatsApp

Dirección:

Sin nombre y Sin nombre 8 DE DICIEMBRE YPANE CENTRAL

Ciudad:

Ypané

Ubicación:

¿Ayudaste este pedido? ¡Contanos por favor!